あさひ歯科・矯正歯科

ご予約・お問合せ

*

043-433-8211

初診ネット予約
問診票ダウンロード

Follow
us

公式 矯正
* *

顎顔面矯正の症例一覧

CASE

* *

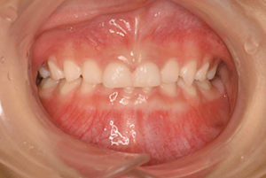
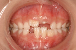
歯との隙間が不足

2025.12.03

レントゲン写真 治療内容・期間 5歳の時に、歯並びの相談でいらっしゃいました。ご兄弟が当院で治療中でしたので、弟さんについてもご相談といった形でした。お口の中ではすきっ歯に見えるのですが、(緑のまる)レントゲン撮影で調べると、永久歯は狭くて重なり合っていました(オレンジまる)。また、前歯は若干受け口でした。特にオレン...

続きを読む

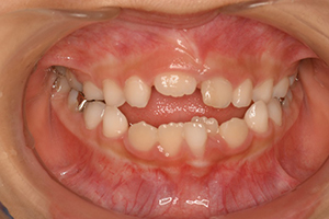
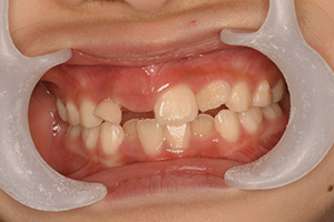
埋まっている永久歯が密集している

2025.11.25

レントゲン写真 治療内容・期間 6歳のときに歯並びの相談でいらっしゃいました。気になっていらっしゃった点は、上の前歯が曲がって生えてきた(緑の矢印)、下の前歯が内側に生えてきた(オレンジの◯)の部分でした。永久歯が生えてくる隙間がたりなくて、入り切らないのでズレて出てきた状態です。 レントゲンで精査したところ、埋まっ...

続きを読む

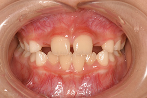
前歯が噛み合っていない状態

2025.10.17

レントゲン写真 治療内容・期間 6歳から虫歯の治療で通っていただいていた患者さんです。 9歳のときのお口の中が左の写真です。 下の前歯はすでにガタガタになっています。また、写真ではわかりにくいですが、受け口ぎみです。開口もあり、前歯が噛み合っていない状態です。 顎顔面矯正を5年間、装置をつけたり外したりしながら継続し...

続きを読む

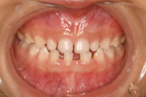
上顎骨の発育不全

2025.09.20

レントゲン写真 治療内容・期間 6歳の時に初めて当院にいらっしゃいました。以前、保健所で口呼吸を指摘され、それに伴い前歯に着色もあるため掃除をするように言われたとのことでした。当時は着色のクリーニングを行い、乳歯に虫歯があったので治療を行いました。口呼吸に関しては、上顎骨の発育不全のために気道が狭い状態であることが予...

続きを読む

永久歯が生えるスペースに不足

2025.08.08

レントゲン写真 治療内容・期間 2017年 9歳の時に、上下の4前歯が出揃ったのですが、その時点で前歯の角度が綺麗ではなかったのと、上の中央の前歯2本が若干出っ歯気味だったので、矯正治療をおすすめしました。この時点で 10歳でしたので、すぐに始めるか、そうでなければすべてが生え変わってから通常の矯正をするか、という形...

続きを読む

歯並びが気になる

2025.08.08

レントゲン写真 治療内容・期間 7歳の時に、歯並びが気になるとのことでいらっしゃいました。最初の状態が左の写真です下の前歯は叢生です。上の前歯は、オレンジの矢印のところに側切歯が入るはずなのですが、隙間が小さくて出てこられない状態でした。さらにその後ろの犬歯も、顎の中で重なり合っていて出にくくなっています。 7歳の時...

続きを読む

歯が生えるスペースが不足している

2025.06.26

レントゲン写真 治療内容・期間 患者さんは6歳の時に左下の2番目が出てきて(オレンジの矢印のところ)、出てくるスペースがないという訴えでいらっしゃいました。歯が生えるスペースが不足しているため、矯正治療をご提案いたしましたが、実際に検査を開始した時にはそこから7ヶ月ほど経過し、7歳になっていました。X線での精査では、...

続きを読む

八重歯のように出てくる

2025.05.19

レントゲン写真 治療内容・期間 2歳ちょっと前に初めて来院され、5歳にまでは定期的に虫歯のチェックや歯磨きの練習でいらっしゃっていたかたです。下の前歯2本が生え変わった段階で、歯並びが悪くなりそうでしたので矯正治療をご提案し、5歳半で矯正を開始しました。特に上顎が小さいために噛み合わせが若干逆になっています(緑の矢印...

続きを読む

下顎に叢生

2025.04.15

レントゲン写真 治療内容・期間 10歳のときに学校の歯科健診で歯並びを指摘されて来院されました。 口腔内では特に下顎に叢生が顕著に認められ(緑のマル)、歯列弓も狭窄しているために歯が並ばないのと、両側の6歳臼歯が内側に倒れています(オレンジのマル)。 レントゲンで確認したところ、これから出てくる歯も隙間が全くないので...

続きを読む

永久歯が出てくるスペースが不足

2025.03.07

治療内容・期間 左が5歳の時の、右が7歳の時です。どちらも矯正治療前の写真です。5歳の時(左)、下の前歯2本(緑の矢印)は、左右ともにAとBの癒合歯で、2つで1つの歯になっていましたので、本数が2本不足でした。 時点でX線撮影を行ったところ、埋まっている永久歯の数は正常でした。乳歯より多い数の永久歯が出てくるためにス...

続きを読む

*

OFFICIAL
INSTAGRAM

@asahishika
*

ORTHODONTICS
INSTAGRAM

@karumiakai
*

クリニック
ブログ

一覧を見る
*

歯の
豆知識

一覧を見る

採用
情報

募集職種一覧を見る
*
*

043-433-8211

初診WEB予約

*